BỆNH VIỆN
CHẤN THƯƠNG CHỈNH HÌNH NGHỆ AN
Tận tâm từ gốc - Vững chãi vươn xa
Toggle navigation
Giới thiệu
Sơ đồ bệnh viện
Chuyên khoa
Danh mục kỹ thuật
Lịch sử hình thành
Phòng chức năng
Phòng kế hoạch tổng hợp
Phòng Tài chính kế toán
Phòng Tổ chức hành chính
Phòng Điều dưỡng trưởng
Phòng Quản lý chất lượng
Sơ đồ tổ chức
Sứ mệnh tầm nhìn
Thành tích đạt được
Lãnh đạo bệnh viện
Phác đồ điều trị - QT kỹ thuật
Tin tức sự kiện
Tin tức y khoa
Báo chí nói về bệnh viện
Văn bản
Bệnh viện CTCHNA
Văn bản của Tỉnh
Tỉnh Nghệ An
Sở Y tế Nghệ An
BHXH tỉnh Nghệ An
Tuyển dụng
Thông báo
Hoạt động
Góc từ thiện
Hoạt động bệnh viện
Hợp tác quốc tế
Chỉ đạo tuyến
Dành cho khách hàng
Quy định khám bệnh
Bảng giá dịch vụ
Hỏi đáp
Liên hệ
Tra cứu hóa đơn điện tử
Tra cứu HĐ điện tử theo TT78
Đăng ký khám bệnh
Tiện ích
Kết luận giao ban
Bệnh án điện tử
Trang chủ
Nghiên cứu khoa học
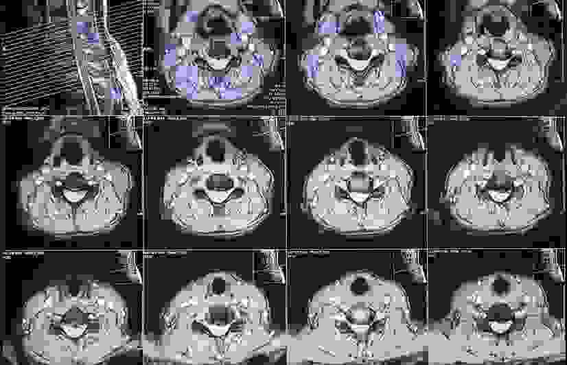
Phục hồi sau thoái hóa đốt sống cổ
21/03/2020 17:00
Đã xem: 3005
Sau 10 ngày điều trị cho ổn định sức khỏe và giảm tình trạng phù nề, bệnh nhân được chỉ định phẫu thuật lấy đĩa đệm, hàn xương liên thân đốt cổ lối trước (ACDF)
Liên kết website
-- Website Sở Y tế --
Sở y tế Hà Nội
Sở y tế Bắc Giang
Sở y tế Thanh Hóa
Sở y tế Quảng Ninh
Sở y tế Thanh Hóa
Sở y tế Thái Nguyên
Sở y tế Cần Thơ
-- Liên kết khác --
Bộ y tế
Cục y tế dự phòng
Cục Quản lý Dược
Cục quản lý khám chữa bệnh
Liên hệ với chúng tôi