1. ĐẠI CƯƠNG
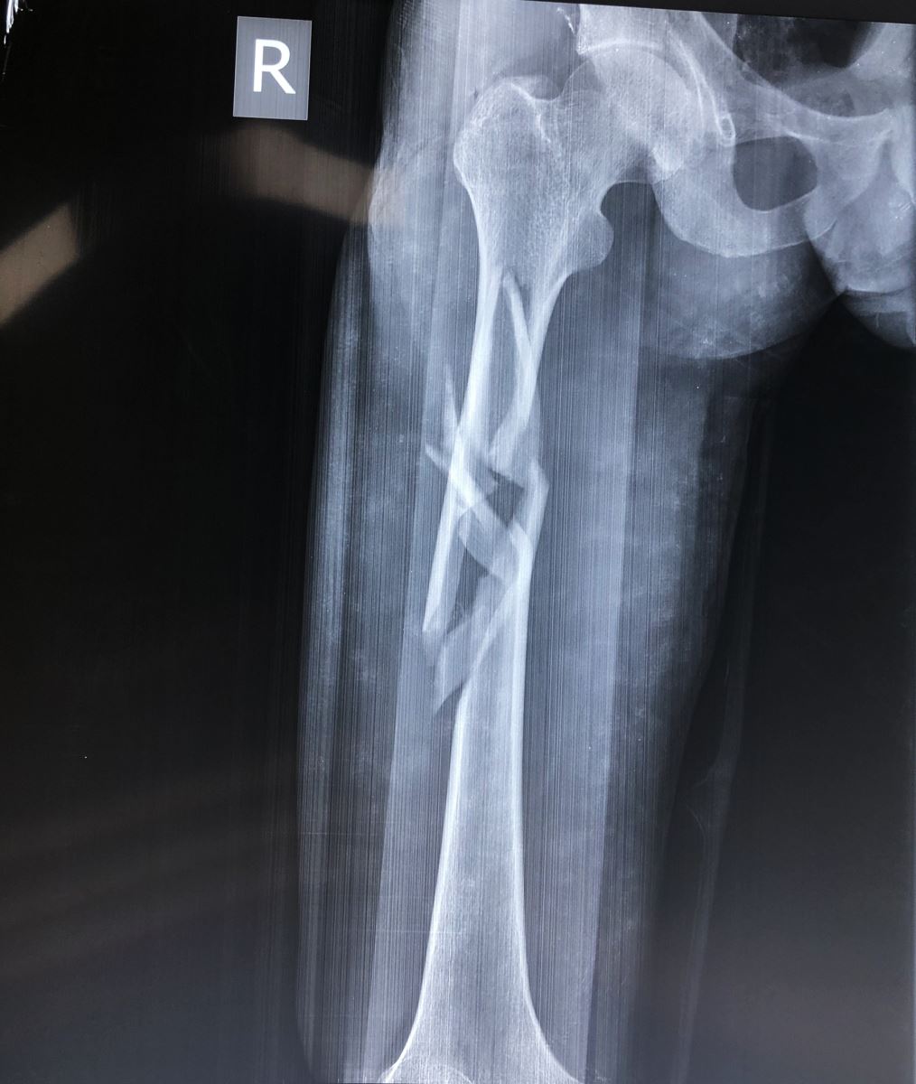
Gãy thân xương đùi được giới hạn từ bờ dưới mấu chuyển lớn đến bờ trên lồi cầu ngoài 5cm. Xương đùi là một xương có sự chống đỡ đặc thù đối với mọi chấn thương do cấu trúc giải phẫu của nó. Đó là do 3 độ cong sinh lý và sự bố trí vùng chịu lực.

-
1.1. Nguyên nhân
Thường do một chấn thương mạnh trực tiếp như tai nạn giao thông, hoặc một chấn thương gián tiếp kết hợp với gấp và vặn xoắn. Thường gặp ở người lớn và trẻ em từ 3-5 tuổi.
1.2. Đường gãy
Gồm có gãy ngang, gãy chéo, gãy xoắn, gãy 2 ổ hoặc gãy vụn.
- Đường gãy ngang: Thường do gập góc, dạng gãy này sau khi nắn tốt thì thường vững chắc hơn các dạng gãy khác.
- Đường gãy chéo, xoắn: Thường do gập góc kèm theo vặn xoắn cơ thể. Dạng gãy này không vững chắc sau khi nắn
1.3. Sự di lệch
Tuỳ theo vị trí gãy và có các hình thái di lệch khác nhau. Các di lệch thường gặp là gập góc, lệch sang bên, chồng lên nhau, xoay ngoài của đoạn gãy xa.
2. DẤU HIỆU LÂM SÀNG
- Bệnh nhân có thể đau dữ dội ở vùng đùi.
- Mất cơ năng hoàn toàn, bệnh nhân không thể nhấc chân lên được.
- Cần phải nghĩ đến sốc có thể xảy ra để đề phòng và điều trị
Khám tại chỗ thường thấy rõ các biến dạng đặc thù:
- Gập góc, làm đùi có dáng vòng quai do mở góc vào trong, nhất là khi gãy ở đoạn trên xương đùi.
- Đùi sưng to.
- Chi thường ngắn so với bên lành.
- Bàn chân xoay ngoài, bờ ngoài bàn chân nằm sát mặt phẳng nằm của bệnh nhân. Đối với gãy thấp, do đầu gãy xa bị kéo ra sau dễ chèn vào bó mạch, thần kinh, ổ khoeo, do vậy cần xác định rõ có tổn thương mạch máu, thần kinh hay không. Chú ý vận động gấp duỗi bàn chân hoặc vùng mất cảm giác ở gan chân và một vùng nhỏ trước cổ chân trong trường hợp có chèn ép thần kinh hông khoeo.
- Ngoài ra cần khám kỹ vùng háng và gối để phát hiện các thương tổn phối hợp như vỡ ổ cối, trật khớp háng, đứt dây chằng chéo sau, vỡ xương bánh chè.
- Chú ý tổn thương phối hợp: sọ não, cột sống, vỡ tạng trong ổ phúc mạc.
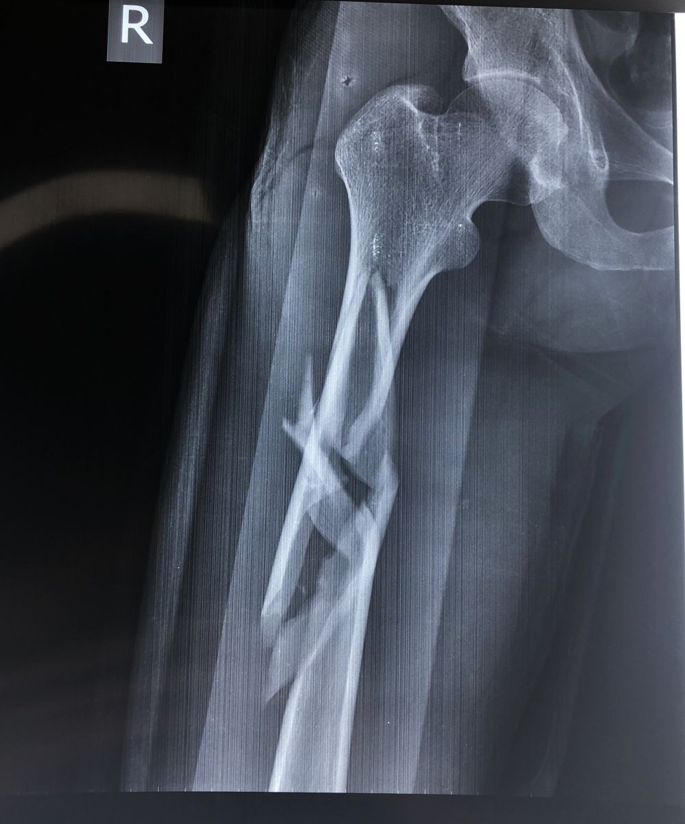
3. CHẨN ĐOÁN HÌNH ẢNH (X-QUANG)
Mặc dù chẩn đoán bằng X quang là cần thiết, nhưng cần khám kỹ lâm sàng để tránh bỏ sót thương tổn. Một số trường hợp bỏ sót trật khớp háng trong gãy thân xương đùi vì chỉ chụp giới hạn ổ gãy. Do vậy để có một phim X quang tốt cần chú ý:
- Chụp lấy được 2 khớp của đầu xương gãy ít nhất hai bình diện thẳng và nghiêng.
- Chụp xương bên lành để so sánh nếu thấy cần thiết.


4. BIẾN CHỨNG
- Sốc
Sốc có thể thoáng qua nhờ giảm đau bởi bất động tạm thời tốt, sốc này thường do đau đớn.
Sốc có thể do mất máu của ổ gãy, cần đo vòng đùi để ước lượng, nếu vòng đùi quá căng so với bên lành có thể mất quá 500ml ở người 50kg.
- Mất mạch ở khoeo và cổ chân
Nguyên nhân do động mạch đùi bị đứt hoặc do chèn ép của đoạn gãy xa nhất là gãy đầu dưới xương đùi, gãy trên lồi cầu xương đùi. Hoặc có thể do máu từ ổ gãy tràn vào chèn ép động mạch khoeo.
- Tắc mạch do mỡ
Hiếm gặp, cần chú ý khi: Gãy xương nhiều mảnh.
Cần phải cấp cứu kịp thời vì tỷ lệ tử vong cao.
5. NGUYÊN TẮC ĐIỀU TRỊ
5.1. Sơ cứu, cấp cứu
- Cần bất động tạm thời và chống sốc. Ở người lớn có thể mất đến 1 lít máu qua ổ gãy. Nếu bất động kém sẽ gây thêm đau đớn và có thể sốc nặng nguy hiểm đến tính mạng. Do vậy cần phải chống sốc, cần truyền 1-2 lít dịch và truyền máu nếu có, sau đó kiểm tra đã bất động tốt chưa rồi mới vận chuyển đến nơi điều trị thực thụ.
- Nếu ổ gãy có xây xát da hoặc có vết thương rộng cần băng ép vô trùng, dùng kháng sinh mạnh đường tĩnh mạch và thuốc chống uốn ván.
- Bất động xương đùi vững chắc đòi hỏi phải đặt nẹp quá chậu hông, có loại nẹp khá tiện dụng là nẹp Thomas - Lardennois, vừa bất động vừa kéo liên tục nhẹ và cố định nhanh chóng nhất là trong trường hợp có hàng loạt chấn thương.
- Trong điều kiện ở Việt Nam có thể dùng nẹp tre, gỗ. Nẹp phải to bản (10cm) và dày (1cm). Có thể dùng 2 hoặc 3 nẹp, thường dùng 2 nẹp: 1 đặt ở ngoài từ nách đến quá mắt cá ngoài; 1 nẹp ở háng đến mắt cá trong.
5.2. Điều trị thực thụ
Do xương đùi to chắc, có nhiều cơ mạnh bám cho nên dù nắn tốt cũng không thể cố định tốt trong bột được, rất dễ bị di lệch thứ phát. Hiện nay phương pháp điều trị chỉnh hình chủ yếu áp dụng cho trẻ < 15 tuổi, còn ngoài ra phần lớn phải phẫu thuật.
Bó bột:
Chỉ áp dụng cho trẻ em, các trường hợp gãy nhiều mảnh ít di lệch, gãy không di lệch, gãy cài nhau. Ngoài ra trong hoàn cảnh nước ta các nơi không đủ điều kiện vô trùng, dụng cụ, kinh tế thì đây là phương pháp duy nhất.
Bó bột chậu-lưng-chân; bột giữ khoảng 2-3 tháng tùy tuổi cũng như đường gãy. Trong thời gian bó cho bệnh nhân đi lại trên nạng, không chống chân đau. Nên kiểm tra X quang hàng tuần cho đến khi thấy xương liền chắc.
Sau hai tháng khi thấy xương đã liền có thể cho đi trên bột từ 1-2 tháng nữa. Sau khi mở bột bệnh nhân tập đi chống chân đau có nạng, dần dần cơ tứ đầu, khớp háng và gối sẽ phục hồi từ 6 tháng đến một năm.
Kéo liên tục xuyên qua xương: thường áp dụng đối với trẻ em (không mổ), người già, gãy hở, gãy vụn, gãy bệnh lý, tổng trạng kém hoặc kéo trong thời gian chờ mổ.
Trong thời gian kéo nên kiểm tra lâm sàng hằng ngày và X quang hàng tuần để điều chỉnh tạ kéo, bắt đầu giảm trọng lượng tạ dần dần và sau 6 tuần có thể làm bột chậu-lưng-chân. Trong thời gian kéo tạ cần tập vận động cơ tứ đầu, các khớp để tránh các biến chứng sau khi đã liền xương.
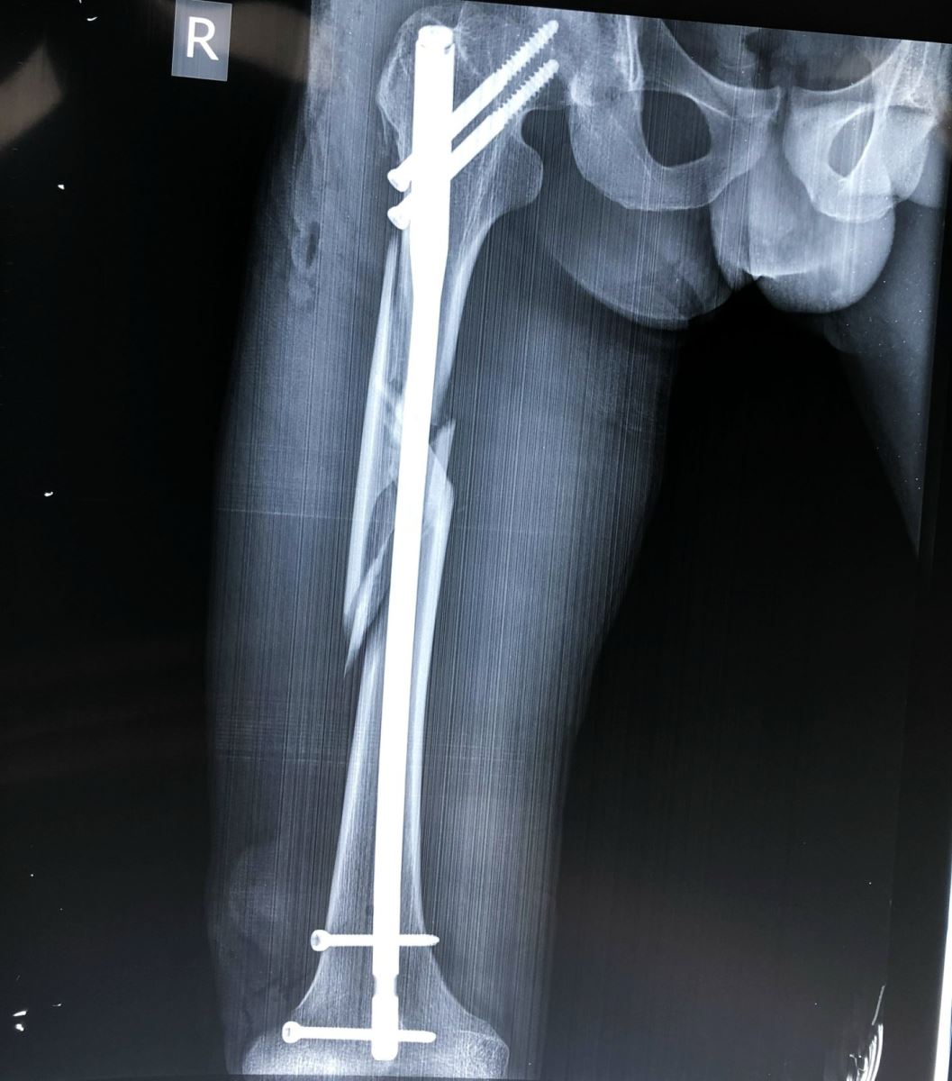
Là phương pháp điều trị hữu hiệu tích cực nhất hiện nay.
Đóng đinh nội tủy:
Áp dụng cho các trường hợp gãy thân xương đùi, tốt nhất đoạn 2/4 giữa, áp dụng trong tất cả các trường hợp gãy ngang, chéo, nhiều mảnh, gãy 2 ổ. Đóng đinh nội tủy được xem là phương pháp tốt nhất hiện nay. Nhờ màn tăng sáng, người ta đóng đinh không mở ổ gãy và có khoan rộng ống tủy. Để chống xoay của đoạn gãy xa người ta tăng cường chốt ngang qua xương. Trong trường hợp đường gãy thấp ở đoạn 1/3 giữa và dưới, có thể tiến hành đóng đinh nội tủy có chốt ngang ngược dòng từ đầu dưới xương đùi.


Kết hợp xương bằng nẹp vít:
Ưu điểm là nắn hoàn chỉnh đoạn xương gãy.
Nhược điểm:
- Làm chậm liền xương.
- Giới hạn các vận động cơ do bóc tách khi mổ.
- Nhiễm trùng.
- Kết hợp xương nẹp vít thường áp dụng trong các trường hợp gãy gần các đầu xương hoặc bệnh nhân nhi đang còn sụn tiếp hợp.
Cố định ngoài:
Được áp dụng trong các trường hợp gãy hở với thương tổn phần mềm nặng và thương tổn mạch máu thần kinh.
6. KHUYẾN CÁO
- Tuyên truyền và giáo dục trong cộng đồng về luật giao thông và lao động.
- Cần giáo dục cộng đồng sơ cứu tại chỗ và bất động gãy xương tốt các trường hợp gãy xương để hạn chế các biến chứng trong gãy xương và sốc.
- Đối với các tuyến y tế cơ sở cần chẩn đoán sớm, xử lý đúng và chuyển lên tuyến y tế chuyên khoa điều trị sớm để giảm thiểu các biến chứng do gãy thân xương đùi.
- Giáo dục cho bệnh nhân tập luyện phục hồi chức năng sau điều trị.
BỆNH VIỆN CHẤN THƯƠNG CHỈNH HÌNH NGHỆ AN: Bệnh viện chuyên khoa hạng II tuyến Tỉnh về Chấn thương chỉnh hình – Bỏng- Thần kinh sọ não cột sống – Phục hồi chức năng – Tạo hình thẩm mỹ
Địa chỉ: 138 Nguyễn Phong Sắc, Phường Hưng Dũng, TP. Vinh (Bệnh viện Ba Lan cũ)
Hotline: 08 1664 5656 Facebook: https://www.facebook.com/bvctchna/